Sức khỏe
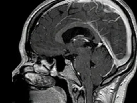
3 dấu hiệu có thể là tín hiệu cảnh báo teo não, lão hóa não càng nghiêm trọng
Bộ não là trung tâm điều khiển của toàn bộ cơ thể. Một khi não bắt đầu có dấu hiệu "teo lại", cả về nhận thức lẫn hành vi của chúng ta cũng có thể bị ảnh hưởng.
Nghỉ lễ 30-4 và 1-5, người dân, du khách nên phòng COVID-19 thế nào?
Khẩu trang, khử khuẩn và vắc-xin vẫn là biện pháp quan trọng phòng, chống lây nhiễm COVID-19. Đeo khẩu trang cũng bắt buộc tại một số địa điểm và với một số trường hợp để giảm nguy cơ lây bệnh.
Quy tắc 20-20-20 - Bí quyết giúp bảo vệ đôi mắt giữa thời đại 4.0
Đây là một bí quyết cực đơn giản, không tốn một xu nhưng có thể giúp cho đôi mắt của bạn luôn sáng khỏe. Hãy cùng tìm hiểu quy tắc 20-20-20 này nhé!
FDA phê duyệt thuốc làm từ... phân người
Cơ quan Quản lý Thực phẩm và Dược phẩm Hoa Kỳ (FDA) đã phê duyệt viên thuốc đầu tiên được sản xuất từ phân người hiến tặng, cơ quan này thông báo ngày 26/04. Đây là phương pháp điều trị có nguồn gốc từ phân người thứ hai từng được phê duyệt; đầu tiên là phương pháp điều trị dựa trên thuốc xổ vào tháng 12 năm 2022.
Bé trai bị thanh sắt đâm xuyên bàn chân
Bé trai 12 tuổi ở tỉnh Long An gặp sự cố trong lúc tham gia giao thông khiến bàn đạp xe đâm xuyên lòng bàn chân.
Ăn táo có thật tốt đủ đường, ngăn ngừa cả ung thư?
Táo là một trong những trái cây tốt cho sức khỏe nhưng ban cần chú ý ăn để hấp thụ chất dinh dưỡng một cách tốt nhất.
1 cách ăn nhiều người Việt khen ngon nức nở nhưng có thể khiến cơ thể phải gánh 'họa'
Đồ ăn sống, tái là món 'khoái khẩu' của nhiều người. Tuy nhiên, theo cảnh báo của chuyên gia, cách ăn này tiềm ẩn nhiều nguy cơ bệnh tật.
Bệnh viện Vũng Tàu điều trị kịp thời bệnh nhân bị tắc tĩnh mạch não
Một bệnh nhân nữ bị huyết khối tĩnh mạch nội sọ sau sinh 4 tuần vừa được Bệnh viện Vũng Tàu điều trị kịp thời, hiện sức khoẻ đã ổn định và xuất viện.
Dịch Covid-19 bùng phát trở lại: Băn khoăn về mũi tiêm vaccine tăng cường
Những ngày qua, thông tin dịch Covid-19 có dấu hiệu gia tăng trở lại trên cả nước, đặc biệt đã có 2 trường hợp tử vong, khiến nhiều người dân hoang mang, lo lắng. Trong bối cảnh miễn dịch cộng đồng đang có xu hướng giảm như hiện nay thì vấn đề có nên tiêm các mũi vaccine tăng cường hay không đang được đặt ra.
Lấy viên sỏi to như quả trứng trong bàng quang bệnh nhân
Bệnh viện Đa khoa Thống Nhất (Đồng Nai) vừa phẫu thuật thành công lấy sỏi bàng quang kích thước "khủng" cho bệnh nhân 69 tuổi.
Cảnh báo trẻ mắc hội chứng cử động bất thường
Liên tiếp thời gian gần đây, các bệnh viện (BV) nhi đồng trên địa bàn TPHCM tiếp nhận nhiều trẻ em có biểu hiện “lạ” như nháy mắt, lắc đầu, tặc lưỡi, nói tục, nhại lại động tác, âm thanh của người khác… đến thăm khám, điều trị. Các bác sĩ nhận định, các trẻ này mắc hội chứng TIC (cử động bất thường của các cơ, lặp đi lặp lại không kiểm soát được), là hệ quả của việc phụ huynh cho trẻ xem tivi, điện thoại và các thiết bị điện tử quá nhiều.
Làm gì khi trẻ sơ sinh mắc Covid-19?
Khi phát hiện trẻ nghi nhiễm hoặc mắc Covid-19, cha mẹ cần bình tĩnh xác định mức độ bệnh của con.
Vụ phát hiện gần 10 tấn nguyên liệu làm kem quá hạn: Tiềm ẩn nguy cơ gì?
Tổng cục Quản lý thị trường (QLTT) thông tin vào chiều tối 25/4, lực lượng QLTT TP.Hà Nội phối hợp với các đơn vị chức năng trên địa bàn tiến hành kiểm tra đối với Công ty Cổ phần Đầu tư Thương mại và Sản xuất Tràng Tiền số 10 (địa chỉ tại thôn 3, xã Vạn Phúc, huyện Thanh Trì thành phố Hà Nội) do bà Phạm Thị Ngạn làm giám đốc.
Phát hiện món ăn có thể tăng nguy cơ lo âu, trầm cảm: Nam giới bị ảnh hưởng nhiều nhất
Nghiên cứu mới cho thấy việc ăn nhóm thực phẩm này thường xuyên có liên quan đến việc gia tăng nguy cơ lo âu, trầm cảm.