Sức khỏe
Hy hữu: Cứu sống cậu bé Israel gặp nạn đầu trật khỏi cổ
Các bác sĩ phẫu thuật của Trung tâm Y tế Hadassah (Israel) đã gắn lại đầu của một cậu bé 12 tuổi sau khi tai nạn giao thông khiến phần hộp sọ bị trật khỏi đốt sống cổ trên cùng.
Đắk Lắk ghi nhận một trường hợp tử vong sau hơn 6 tháng bị chó cắn
Sau hơn 6 tháng bị chó cắn, người phụ nữ xuất hiện các triệu chứng kích thích, sợ nước, sợ gió và được đưa đến bệnh viện điều trị nhưng đã tử vong.
Thấy dấu hiệu này vào buổi sáng, hãy cẩn thận với bệnh gan nhiễm mỡ
Khi gan nhiễm mỡ, cơ thể sẽ phát ra nhiều ‘tín hiệu’ cảnh báo, một trong số đó thường xuất hiện vào buổi sáng.
Bóp chết côn trùng rồi quẹt tay lên mặt, hai vợ chồng không mở nổi mắt
Hai vợ chồng dùng tay bóp chết một vài con kiến ba khoang, sau đó quẹt tay vào mắt khiến mắt không mở được.
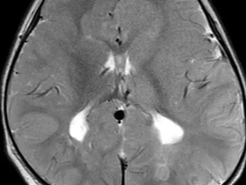
TP Hồ Chí Minh: Phát hiện hai trường hợp bệnh nhi nguy kịch do mắc bệnh não cấp hiếm gặp
Sáng 6/7, Bệnh viện Nhi Đồng 2 (TP Hồ Chí Minh) cho biết, chỉ trong vòng một tháng, khoa Hồi sức tích cực Nhiễm tiếp nhận liên tiếp 2 trường hợp mắc hội chứng động kinh co giật nửa người - liệt nửa người (hemiconvulsion-hemiplegia-epilepsy (HHE) syndrome). Đây là một bệnh hiếm gặp.
7 người ngộ độc nhập viện nghi do ăn tiết canh bò
Tối ngày 5/7, Bệnh viện đa khoa huyện Bố Trạch (Quảng Bình) tiếp nhận 7 bệnh nhân nhập viện cấp cứu ngộ độc thực phẩm nghi do ăn tiết canh bò.
Người đàn ông suy thận giai đoạn cuối bật khóc khi biết nguyên nhân từ 1 thói quen
Một người đàn ông tại Long An đi khám sức khỏe tổng quát thì phát hiện bị suy thận giai đoạn cuối. Nguyên nhân từ một thói quen chủ quan không ngờ.
Bé 1 tuổi bị cao huyết áp
Sinh ra cân nặng bình thường, nhưng bé M.K suốt nhiều tháng liền không tăng cân. Vào bệnh viện, bác sĩ nói em bé 12 tháng tuổi bị suy tim, cao huyết áp.
Phát hiện tác động chưa từng biết của cholesterol, triglyceride cao
Mức cholesterol toàn phần và triglyceride (chất béo trung tính) cao không chỉ tác động đến hệ thống tim mạch, chuyển hóa của bạn mà còn ảnh hưởng đến một thứ tưởng chừng không liên quan.
Sau TPHCM, Hà Nội là điểm nóng sốt xuất huyết
Các chuyên gia dịch tễ nhận định tình hình dịch bệnh sốt xuất huyết (SXH) năm nay sẽ có những diễn biến phức tạp, đặc biệt là khi thời tiết nắng nóng kéo theo những đợt mưa giông thất thường như ở khu vực Hà Nội hiện nay.
2 loại đồ uống hại gan bậc nhất nhưng nhiều người vẫn ‘vô tư’ dùng
Khoa học đã chứng minh đây là 2 thứ đồ uống có thể phá hủy các tế bào gan lành mạnh và gây ra bệnh tật.
Bộ Y tế: 90% phụ nữ Việt Nam mắc các bệnh liên quan đến phụ khoa
Đa số các chị em khi bị bệnh dù có cảm giác khó chịu, biểu hiện ban đầu… nhưng vẫn cố chịu, thường có tâm lý e ngại, tự điều trị chứ không đi khám.
Truyền 70 lọ huyết thanh cấp cứu liên tiếp cho 3 bệnh nhân bị rắn cắn
Trong 4 ngày, từ 29/6 đến 2/7, Khoa Cấp cứu, BVĐK tỉnh Phú Thọ tiếp nhận 3 trường hợp bị rắn cắn trên địa bàn huyện Đoan Hùng, huyện Thanh Ba và TP. Việt Trì.
Thanh niên trẻ vỡ tim, hôn mê sau đợt ho sốt
Sau 5 ngày ho sốt, nam thanh niên được phát hiện mắc bệnh lý về tim mạch. Một ngày nhập viện, bệnh nhân bất ngờ ngừng tuần hoàn, vỡ tim