Sức khỏe
Dấu hiệu cảnh báo bạn nên ngừng tập thể dục ngay lập tức
Tập thể dục rất tốt cho sức khỏe, nhưng nếu thấy các triệu chứng dưới đây hãy dừng tập ngay lập tức.
Sự thật về thói quen uống nước tăng lực để bù nước vào mùa hè
Nước tăng lực đôi khi bị nhầm lẫn với các loại đồ uống thể thao. Mục đích của nước tăng lực là giúp người uống tỉnh táo và bổ sung năng lượng nhờ chứa một lượng đường đáng kể cùng caffein. Mùa hè uống nước tăng lực có giúp bù nước hiệu quả không?
Cách phân biệt các vết đốt của côn trùng
Hầu hết các vết cắn và đốt của côn trùng không gây ra điều gì khác ngoài sự khó chịu, nhưng một số vết cắn có thể nguy hiểm đến tính mạng, đặc biệt nếu bạn bị dị ứng nghiêm trọng với nọc độc của động vật.
Chuyên gia chỉ cách phụ huynh có thể áp dụng để giải tỏa áp lực học tập cho con
Theo chuyên gia, để giải tỏa áp lực cho con, trước tiên cần phải thay đổi từ chính các bậc làm cha làm mẹ.
Bộ Y tế giải thích lý do tồn đọng 7.000 hồ sơ cấp phép trang thiết bị y tế
(Tổ Quốc) - Tại cuộc gặp mặt báo chí do Bộ Y tế tổ chức sáng 24/3, đại diện Bộ Y tế đã trả lời nhiều câu hỏi về cấp phép trang thiết bị, thiếu vắc xin dịch vụ…
Loại rau mọc trên cây xưa toàn bị chặt bỏ, nay bán gần 300 nghìn/kg vẫn không đủ hàng
Dù vẻ ngoài không bắt mắt nhưng loại rau này lại chứa hàm lượng dinh dưỡng rất dồi dào.
Căn bệnh truyền nhiễm nguy hiểm nhưng chưa được quan tâm đúng mức ở Việt Nam
Theo các chuyên gia, COVID-19 và lao đều là 2 căn bệnh truyền nhiễm nguy hiểm, lây lan qua không khí, ảnh hưởng đến sức khỏe con người nhưng bệnh lao vẫn chưa được quan tâm đúng mức.
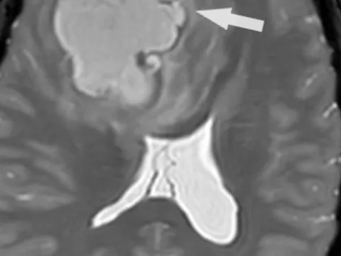
Khối u 5 cm trốn trong não nữ bệnh nhân Campuchia
Chị T.H, 30 tuổi, người Campuchia, bị đau đầu dữ dội kèm chóng mặt, buồn nôn, đi khám thì phát hiện một khối u 5 cm
Uống một lon nước ngọt có ga, bạn đã nạp vào cơ thể đến 40g đường
Tăng mức tiêu thụ đồ uống có đường là nguyên nhân gia tăng tình trạng thừa cân béo phì.
Cholesterol cao: Thêm nguyên nhân bất ngờ, không liên quan ăn uống
Sự tăng cholesterol xấu và cholesterol toàn phần, hai trong số các yếu tố tạo nên tình trạng rối loạn lipid máu - mà dân gian gọi là tăng mỡ máu - vừa được chứng minh là liên quan đến thứ xuất hiện ngày một nhiều quanh chúng ta: PM2.5.
Chăm sóc trẻ bị thủy đậu đúng cách tránh các biến chứng nguy hiểm
Khi trẻ mắc thủy đậu cần chăm sóc đúng để trẻ nhanh khỏi và giúp hạn chế các biến chứng cũng như sẹo trên da ở trẻ.
Con có những dấu hiệu này mẹ cần cho con đi khám gấp vì nguy cơ bị thủy đậu
Khi trẻ xuất hiện những dấu hiệu này, bố mẹ không nên chủ quan mà cần cho trẻ đi khám sớm.
Người đàn ông bị đầy hơi khó tiêu, bác sĩ nói: Đây đích thị là “vua ung thư giấu mặt”
Đây là loại ung thư có những triệu chứng không rõ ràng trong giai đoạn đầu, dễ bị nhầm với những bệnh về đường tiêu hóa.
7 thực phẩm giúp cơ thể có mùi thơm tự nhiên, nhất là số thứ 5
Tất cả những gì chúng ta ăn vào đều được phản ánh qua cơ thể ta, kể cả mùi cơ thể. Để có được mùi hương cơ thể thơm tho tự nhiên, bổ sung những thực phẩm sau.